Skip to content

Bread & Butter Bedside Ultrasound

A collection of videos that are just a few minutes each to help you PERFORM point-of-care ultrasound now.

How to obtain an ultrasound image in the first place?

2 minute video right here.

Body Regions

  • Abdomen (7)
  • Aorta (1)
  • Arms (2)
  • Chest (4)
  • Eyes (2)
  • Gallbladder (1)
  • Heart/IVC (4)
  • Kidneys/Bladder (2)
  • Legs (3)
  • Neck (3)
  • Procedures (8)
  • Trauma (2)
  • Uncategorized (7)
  • Uterus/Pregnancy (1)

Search

Category Cloud

Abdomen Aorta Arms Chest Eyes Gallbladder Heart/IVC Kidneys/Bladder Legs Neck Procedures Trauma Uncategorized Uterus/Pregnancy
Does this patient have a pneumothorax?

Does this patient have a pneumothorax?

This is as bread & butter as it gets… Ultrasound is far better than x-ray when you want to find a pneumothorax.  I use this most commonly in a hemodynamically UNSTABLE patient when time is the essence.  2 minute video here.

Posted on December 4, 2017Categories ChestLeave a comment on Does this patient have a pneumothorax?

Subclavian Central Line Placement

20150616_133835You might think that the clavicle would get in the way of using ultrasound guidance in subclavian central line placement, but it doesn’t… 2 minute video here.

Posted on December 4, 2017December 4, 2017Categories Chest, ProceduresLeave a comment on Subclavian Central Line Placement
Does this patient have retinal detachment?

Does this patient have retinal detachment?

Because the eye is filled with vitreous which is very black on ultrasound, looking for abnormalities like retinal detachment is very simple.  2 minute video here

Posted on December 4, 2017December 4, 2017Categories EyesTags featuredLeave a comment on Does this patient have retinal detachment?

Optic Nerve Sheath Diameter Measurement

The optic nerve sheath has been shown to correlate with intracranial pressure.  Measuring it is pretty straightforward.  4 minute video here.

Posted on December 4, 2017June 19, 2018Categories EyesTags featuredLeave a comment on Optic Nerve Sheath Diameter Measurement

Placing Internal Jugular Central Line

Using ultrasound for central line placement IS standard of care.  5minsono video here.

Posted on December 4, 2017June 19, 2018Categories Neck, ProceduresLeave a comment on Placing Internal Jugular Central Line
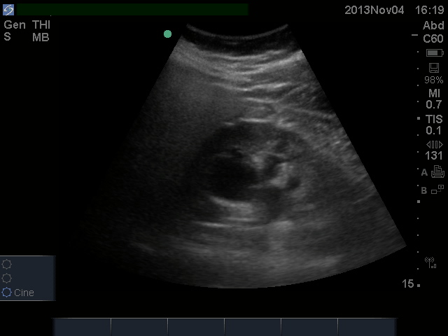
Does this patient have hydronephrosis

Does this patient have hydronephrosis

The primary question for renal POCUS is that of hydronephrosis.  It’s presence strongly points towards renal colic as the diagnosis in the appropriate patient.  2 minute video here.

Posted on December 4, 2017December 4, 2017Categories Abdomen, Kidneys/BladderLeave a comment on Does this patient have hydronephrosis

Posts pagination

Previous page Page 1 Page 2 Page 3
Website Powered by WordPress.com.
  • Subscribe Subscribed
    • Bread & Butter Bedside Ultrasound
    • Already have a WordPress.com account? Log in now.
    • Bread & Butter Bedside Ultrasound
    • Subscribe Subscribed
    • Sign up
    • Log in
    • Report this content
    • View site in Reader
    • Manage subscriptions
    • Collapse this bar
 

Loading Comments...